Anzeige
Anzeige
Gesund essen und besser sehen?

Ernährung und die Prävention von Augenerkrankungen

Wandbild Gemüse
Bild: Pixabay / paulbr75

Es ranken sich viele Mythen um die Möglichkeit, das Sehen mittels Verzehr spezieller Nahrungsmittel zu verbessern. Bisher gibt es keine wissenschaftlich haltbaren Beweise dafür, wie die Stiftung Auge klarstellt. Allerdings kann gesunde Ernährung protektiv bezüglich verschiedener Augenerkrankungen wirken.

So konnte in verschiedenen Untersuchungen und Studien dargelegt werden, dass eine ausgewogene gesunde Ernährung protektiv bei verschiedenen Augenerkrankungen, wie zum Beispiel der Altersbezogenen Makuladegeneration (AMD), dem Grünen Star (Glaukom) oder auch dem Grauen Star (Katarakt), wirken kann. Nicht zu vergessen ist hierbei auch die entsprechende Diät beim Vorliegen einer Blutzuckererkrankung (Diabetes mellitus), die natürlich ebenfalls Auswirkung auf die mögliche Vermeidung von diabetisch-bedingten Netzhautschädigungen hat, wie Dr. med. Peter Heinz, Vorstandsmitglied der Stiftung Auge, Facharzt für Augenheilkunde aus Schlüsselfeld, erläutert.

Anzeige

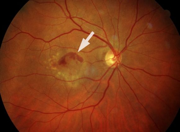
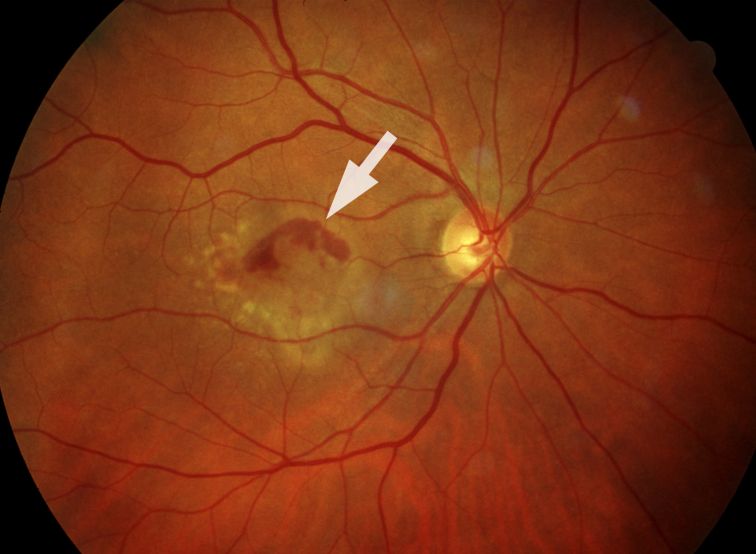
BVA - feuchte Makuladegeneration
Augenerkrankungen: Die feuchte Form der altersabhängigen Makuladegeneration (AMD) verläuft wesentlich aggressiver als die trockene AMD. In der Netzhaut bilden sich krankhafte Gefäße, die Flüssigkeit absondern und die empfindlichen Netzhautgefäße zerstören (Bild: BVA)

Generell gilt: Eine gesunde Ernährung wirkt sich positiv auf den gesamten Organismus und damit auch auf die Augen aus. Dies gilt natürlich auch für die erforderliche regelmäßige sportliche Bewegung, die den Kreislauf und den Stoffwechsel anregt. Rauchen sollte man übrigens generell vermeiden, weil sich dies neben den allgemein bekannten Lungenschädigungen auch negativ auf die Gefäßwände auswirkt und dadurch die Durchblutung der kleinsten Gefäße im Auge, insbesondere derer, die den Sehnerv versorgen, verschlechtert. Auch ein übermäßiger Alkoholkonsum wirkt sich negativ aus.

Rauchen - Risiko fürs Auge
Rauchen: Risiko fürs Auge (Bild: Pixabay / intographics)

Auf was kommt es aber nun genau an und braucht man dazu spezielle „Nahrungsergänzungsmittel“? Dies kann man eigentlich verneinen, so Dr. Heinz, da es in unserer heutigen Gesellschaft in der Regel eigentlich keine Mangelernährung gibt und alle erforderlichen Vitamine und sinnvollen natürlichen Spurenelemente und andere Substanzen in ausreichender Menge über die normale Ernährung aufgenommen werden können.

Vitamine und Augenerkrankungen

Wichtige „Augenvitamin“-Spender sind etwa Paprika, Karotten, Rote Rüben, Brokkoli, Feldsalat, Johannisbeeren und Zitrusfrüchte. Grünes Gemüse wie Spinat, Erbsen oder Grünkohl sind nicht nur Vitaminbomben, sondern enthalten insbesondere auch Lutein, einen Stoff, der eine gewisse Schutzwirkung für unsere Netzhaut besitzt. Insbesondere als positiv hat sich eine sogenannte „mediterrane“ Ernährung herauskristallisiert. Diese besteht aus viel Gemüse, Fisch und Olivenöl, aber nur wenig Fleisch oder Milchprodukte.

Bild: Kelsey Chance auf Unsplash

Alkohol sollte man in übermäßigem Maß vermeiden, aber ansonsten wirklich mindestens zwei Liter Flüssigkeit – am besten Wasser oder ungesüßten Tee – zu sich nehmen. Dies hat neben dem Schutz der Nierenfunktion auch positive Auswirkungen beim Vorliegen von „trockenen Augen“. Beherzigt man diese Hinweise, stellt man sicher, dass sich genügend Vitamin A, Betacarotin, Vitamin C, Vitamin E und Omega-3-Fettsäuren in der Nahrung befinden.

Allerdings werden sich Sehschwächen, wie beispielsweise Kurz- oder Weitsichtigkeit, auch durch die gesündeste Ernährung nicht verbessern. Bei einer ausgewogenen Ernährung ist daher die Einnahme von zusätzlichen Vitaminpräparaten aus augenärztlicher Sicht nicht notwendig, wenn nicht bereits Augenerkrankungen, wie beispielsweise Makuladegeneration, besteht.

Man kann also seinem Körper – und damit natürlich auch seinen Augen – über eine ausgewogene Ernährung, ausreichende Bewegung und den Verzicht auf das Rauchen oder übermäßigen Alkoholkonsum extrem Gutes tun und damit das Auftreten der ein oder anderen Erkrankung vermeiden.

„Einen hundertprozentigen Schutz erhält man dadurch natürlich nicht, da auch andere Faktoren wie Umwelteinflüsse, genetische Veranlagung et cetera an der Entstehung von Augenerkrankungen beteiligt sind. Aber die Ernährung spielt für den Erhalt gesunder Augen und einer möglichst langen guten Sehkraft eine nicht zu unterschätzende Rolle.“

 

Schreiben Sie einen Kommentar

Ihre E-Mail-Adresse wird nicht veröffentlicht. Erforderliche Felder sind mit * markiert