Anzeige
Anzeige
52. Veranstaltung als Webinar Ende November

Fielmann-Kolloquium mit Technologie-Update Sehen

Ende November fand das 52. Kolloquium der Fielmann Akademie Schloss Plön statt. Das Webinar mit rund 200 Teilnehmern rückte einige bedeutende Entwicklungen der Diagnostik und Medizin der letzten Jahrzehnte in den Fokus. Das Wissen über aktuelle Entwicklungen dazu wird immer wichtiger in der Kundenberatung der Augenoptiker*innen. Darüber hinaus fördere es die Zusammenarbeit mit Augenärzten.

Prof. Grein eröffnet Fielmann-Kolloquium

Eine Technologie, die seit einigen Jahren nicht mehr aus der modernen Augenheilkunde wegzudenken ist, ist die optische Kohärenztomografie (OCT). Diese Technologie liefere bereits heute Querschnittsbilder der Netzhaut in mikroskopischer Genauigkeit, was beispielweise bei der Diagnostik und der Therapie-Entscheidung der feuchten altersabhängigen Makuladegeneration sehr wichtig sei, so Prof. Dr. med. Dipl.-Ing. (FH) Hans-Jürgen Grein, Leiter Wissenschaft der Fielmann Akademie Schloss Plön.

Anzeige

Prof. Dr. Gereon Hüttmann, Stellv. Direktor des Institutes für Biomedizinische Optik an der Universität zu Lübeck, eröffnete die Vorträge mit einem Bericht über die Entwicklungen im Bereich der OCT. Grein übergab das Wort mit der einleitenden Frage: „Die OCT ist schon heute von beeindruckender Qualität. Sind wir mit der optischen Auflösung schon am Limit oder können wir noch mehr erwarten?“.

Grundlagen der optischen Kohärenztomografie

Die optische Kohärenztomografie (OCT) ist ein noch relativ neues bildgebendes Verfahren in der Augenheilkunde. Mit der OCT-Technologie lassen sich Schnittbilder verschiedener Strukturen des Auges darstellen, der derzeit häufigste Einsatz betreffe die Bildgebung der Netzhaut. Die Untersuchung basiere auf der Michelson-Interferometrie. Die ersten klinischen Systeme waren sogenannte Time-Domain OCT-Geräte (TD-OCT). Licht, das in tieferen Schichten reflektiert werde, sei länger unterwegs als Licht, das in den oberen Schichten der Netzhaut reflektiert werde. Diese Zeitverzögerung sei über bewegliche Spiegel im Interferometer gemessen und ausgewertet worden.

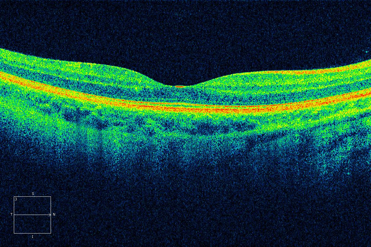
OCT-Bild
Beispiel für ein OCT-Bild (Bild: Zeiss)

In der Folgegeneration, der Spectral-Domain OCT (SD-OCT) sei der Detektor durch ein Spektrometer ersetzt worden. Eine Fourier-Transformation ermittele aus der spektralen Veränderung von Referenzsignal und reflektiertem Licht den OCT-Scan. Beide OCT-Generationen verwenden zur Darstellung der Netzhaut eine breitbandige Lichtquelle mit einer Wellenlänge zwischen 800 und 1400 nm.

Die neueste Generation der OCT-Technologie sei die Swept-Source OCT (SS-OCT). Für diese Weiterentwicklung sei die breitbandige Lichtquelle durch einen Laser ersetzt worden. Dieser Laser ändere in sehr kurzer Zeit seine Frequenz, dadurch komme die Swept-Source OCT ohne Kamera und ohne Spektrometer aus. Aus der Messung über die Zeit sei das Bild rekonstruierbar. Derzeit seien sowohl SD-OCT und SS-OCT-Systeme im Einsatz, deren Möglichkeiten allerdings noch nicht am Ende, so Prof. Hüttmann.

Darstellung retinaler Funktion

Bislang seien die Prozesse, die mit degenerativen Erkrankungen der Netzhaut einhergehen, nicht vollständig erforscht. Wenn es möglich wäre, Zell-Aktivitäten oder Zell-Bewegungen in bestimmten Bereichen der Retina genauer zu beschreiben, könnte dies helfen, den Erfolg von Medikamenten, Gentherapien oder Retina-Implantaten besser zu kontrollieren, erläuterte Hüttmann.

Fielmann Kolloquium 2021 - Gereon Hüttmann
Gereon Hüttmann

Eine mögliche Lösung zur Darstellung zellulärer Funktion in der Netzhaut könnten adaptive Optiken liefern. Ihr Einsatz am Auge sei bislang nicht möglich gewesen, weil sich das Auge zu stark bewege. In der Kombination mit schnelleren Aufnahmetechniken, Eye-Tracking-Verfahren oder in Verbindung mit Fundusfotos seien Bildberechnungen im Labor gelungen und erste Untersuchungen zu Zell-Bewegungen in der Nähe von Gefäßen ausgewertet worden.

Weiter vorangeschritten sei die Idee eines kleinen, handgehaltenen, bezahlbaren OCT für die Anwendung zu Hause. Aktuell gebe es einen Prototypen, der gute Bilder erzeuge, wenngleich die Qualität etwas hinter der klassischer OCT-Geräte zurückbleibe. Auch ein Unternehmen, welches das Gerät kommerziell produzieren wolle, sei bereits gefunden. Die Bilder, die Patienten zu Hause aufnehmen, sollen an ein Datenzentrum gesendet und dort ausgewertet werden. Sollte ein Arztbesuch erforderlich sein, erhielte der Anwender eine entsprechende Benachrichtigung.

Refraktive Chirurgie

Ein weiteres technologisches Highlight der Ophthalmologie ist die refraktive Chirurgie. Ein Leben ohne Brille sei für viele ein Traum – nicht jedoch für uns Augenoptiker, scherzte Grein und übergab das Wort an den zweiten Referenten, Prof. Dr. med. Daniel Kook, Praxis Prof. Kook & Partner, München.

Fielmann Kolloquium 2021 - Daniel Kook
Daniel Kook

Die refraktive Chirurgie blicke auf eine schon etwa 100 Jahre lange Erfahrung zurück. Im Bereich der kornealen Laserchirurgie sei das am häufigsten eingesetzte Verfahren die Femto-Lasik. Hier werde mit einem Femto-Sekundenlaser ein Deckelchen (= Flap) in das Epithel der Hornhaut geschnitten und anschließend mit einem Excimerlaser Stroma-Gewebe abgetragen. Für die Myopie-Korrektion werde Material aus dem Zentrum abgetragen, für eine Hyperopie-Korrektion aus der Peripherie. Als jüngstes Verfahren stellte Kook das Smile-Verfahren vor. Hier werde mit einem Laser eine kleine Linse in das Stroma geschnitten, die dann über einen Minischnitt herausgezogen werde.

Alternativ zum Laser gebe es die Möglichkeit, Fehlsichtigkeiten im Auge zu korrigieren. Bei jungen Patienten werde eine Linse zusätzlich zur eigenen Linse in die Hinterkammer des Auges eingesetzt. Die Implantation einer solchen phaken Linse erfolge durch einen minimal invasiven Eingriff. Bei Bedarf könne die eingesetzte Linse jederzeit entfernt oder ausgetauscht werden. Linsen, die in die Vorderkammer implantiert werden, haben wegen Komplikationen alle den Markt wieder verlassen, erläuterte Kook. Für presbyope Kunden mit dem Wunsch einer refraktiven Chirurgie sei der Linsentausch im Sinne einer vorgezogenen Katarakt-Operation die Methode der Wahl.

Refraktive korneale Lentikel-Implantation

Die refraktive Chirurgie biete ein breites Portfolio an Möglichkeiten. Ein bestes Verfahren gebe es jedoch nicht. Welches Verfahren eingesetzt werde, sei immer eine Einzelfall-Entscheidung, abhängig von okulären und allgemeinen Erkrankungen, anatomischen Begebenheiten am Auge, den Anforderungen und Wünschen des Patienten und der vorliegenden Fehlsichtigkeit. Eine Hyperopie beispielsweise sei derzeit noch nicht perfekt therapierbar. Eine zukünftige Möglichkeit könnte die Lentikel-Implantation sein, bei der einem hyperopen Auge kein Gewebe abgetragen werde, sondern hinzugefügt. Das Gewebe könnte von myopen Patienten generiert werden, die ihre mittels Smile-Verfahren entnommenen Stroma-Linsen spendeten.

Fielmann Kolloquium 2021 - Timo Eppig
Timo Eppig

Auch den Verlust der Akkommodation könne bislang kein Verfahren ersetzen. Hier werde intensiv geforscht. Die Ideen reichen von der Entwicklung eines akkommodativen Linsen-Implantats bis hin zur Nachzüchtung einer natürlichen Augenlinse – bislang noch ohne Erfolg. Für die Korrektion der Presbyopie sei nach wie vor die Gleitsichtbrille den Goldstandard.

„Die Gleitsichtbrille ist schon toll, doch spätestens, wenn man versucht, mit einer solchen eine Deckenlampe zu montieren, merkt man, dass sie kein echter Ersatz für die eigene Linse ist“, griff Grein das Thema auf. Welche Entwicklungen es im Bereich der Intraokular-Linsen gibt und ob der Augenoptiker bald ausgedient hat, diskutierte Priv.-Doz. Dr. Timo Eppig, Senior Consultant Ophthalmologie – Entwicklungsleiter, Amiplant GmbH, Schnaittach, im letzten Vortrag des Abends.

Akkommodierende Intraokular-Linsen

Akkommodation, so Eppig, sei die dynamische Änderung der Brennweite des Auges. Die Linse wirke hierbei wie ein gutes Autofokussystem, gesteuert durch den Ziliarkörper. Die Abnahme der Akkommodationsbreite sei in erster Linie auf den Elastizitätsverlust der Augenlinse zurückzuführen. Die Beweglichkeit des Ziliarkörpers erlebe keine altersabhängigen Beeinträchtigungen, was die Grundvoraussetzung für die Akkommodations-Wiederherstellung darstelle. Aktuell werde angenommen, dass eine künstliche Linse ausgehend von einem emmetropen Auge, einen Akkommodations-Bereich von drei bis vier Dioptrien umfassen müsste, um auch in der Nähe ausreichend gute Leistung zu erzielen.

Ein erster Versuch, dies umzusetzen, erfolgte durch eine Linse mit einer Knickhaptik. Diese ermöglichte eine Vor- und Rückbewegung der Kunstlinse im Auge, aus der eine Brechwert-Änderung resultierte. Die erreichbare Akkommodations-Leistung habe bei diesen Modellen zu keinem zufriedenstellenden Erfolg geführt. Die Weiterentwicklung erfolgte über Linsensysteme, die durch Druck des Ziliarkörpers zueinander verschoben werden und so gute Brechwert-Änderungen erreichen, jedoch sehr voluminös seien.

Verformbare Intraokular-Linsen

Ein anderer Ansatz in der Entwicklung künstlicher Linsen beschreite den Weg, sich an der Form-Änderung der natürlichen Linse zu orientieren. So habe es die Überlegung gegeben, den Kapselsack mit einer viskoelastischen Masse aufzufüllen und so die verlorengegangene Elastizität wiederherzustellen. Trotz jahrzehntelanger Forschung gebe es bislang keine Möglichkeit, den Kapselsack nach Extraktion der natürlichen Linse und Injektion der viskoelastischen Masse dicht zu verschließen. Auch die blasenfreie Injektion der Masse stelle eine enorme Herausforderung dar, dazu kommen Beobachtungen, dass die Akkommodations-Fähigkeit eines solchen Systems über die Zeit abnehme.

Robuster scheinen Entwicklungen, die die Form-Änderung innerhalb einer künstlichen Linse umsetzen. Hier werde ein weiches Substrat durch einen Kompressions-Mechanismus aus einem Reservoir in der Linsen-Haptik in die Optik der Linse gepumpt. Dadurch verändere die Linse ihre Krümmung, was eine Brechwert-Änderung zur Folge habe.

Neueste Konzepte verfolgen das Ziel, die Brechwert-Änderungen elektrooptisch zu erzeugen. Das Linsendesign konnte bereits erfolgreich an Kaninchen-Augen getestet werden. Viele dieser Systeme seien App-basiert, was Fragen zur Datensicherheit aufrufe. Zudem sei die Batterie-Lebensdauer noch ungewiss. Mit Blick auf alle bisherigen Entwicklungen „bleibt die Wiederherstellung der Akkommodation der heilige Gral der Ophthalmologie“, resümierte Eppig. Bis auf Weiteres bleibe die Gleitsichtbrille das Korrektionsmittel der Wahl für presbyope Kunden.

 

Quelle: Fielmann Akademie

 

Schreiben Sie einen Kommentar

Ihre E-Mail-Adresse wird nicht veröffentlicht. Erforderliche Felder sind mit * markiert