Anzeige
Anzeige
AAD-Kongress 2021 online:

Frühzeitige Entdeckung von Augenkrankheiten

Auge Scan Augenkrankheiten
Moderne Bildgebungsverfahren erhöhen die Entdeckung und das Verständnis für Augenkrankheiten (Symbol-Bild: Pixabay / Gerd Altmann)

Mehr als 200 Kurse und Vorlesungen online präsentierte Mitte März der AAD-Kongress 2021. Die Augenärztliche Akademie Deutschland berichtete über neue Therapien und Erkenntnisse z. B. zu Augenkrankheiten wie der epiretinalen Gliose, die mittels moderner Bildgebungsverfahren besser erkannt werden kann, oder Liderkrankungen, die auch die Hornhaut beeinträchtigen.

Wenn Membranen an der Netzhaut ziehen

Zahlreiche Themen standen im Fortbildungskalender der Augenärztlichen Akademie Deutschland beim AAD-Kongress 2021 bereit, wie die epiretinale Gliose, die mit zunehmendem Alter häufiger auftritt. Moderne Bildgebungsverfahren hätten das Verständnis der krankhaften Prozesse erheblich erweitert, berichtete Prof. Dr. Ricarda G. Schumann, München.

Anzeige

Bei der epiretinalen Gliose bildet sich eine Membran, die an einigen Stellen an der Netzhaut klebt und auf sie Zug ausüben kann. Sie entsteht häufig durch altersbedingte Veränderungen des Glaskörpers im Auge, sie kann aber auch die Folge anderer Krankheiten der Netzhaut oder des Glaskörpers sein. Dazu gehören etwa die diabetische Retinopathie, der retinale Venenverschluss oder entzündliche Netzhauterkrankungen.

Zunächst ruft die epiretinale Gliose keine Symptome hervor. Wenn sie fortschreitet, erleben die Betroffenen eine allmähliche Abnahme der Sehschärfe. Zusätzlich können Metamorphopsien auftreten: Gerade Linien erscheinen krumm. Das beidäugige Sehen kann dadurch stark beeinträchtigt werden. Die Patienten empfinden subjektiv sehr unterschiedliche Beschwerden – manche nehmen fast gar keine Sehminderung war, andere fühlen sich in ihrem täglichen Leben erheblich beeinträchtigt.

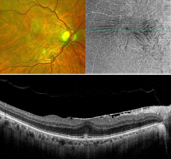
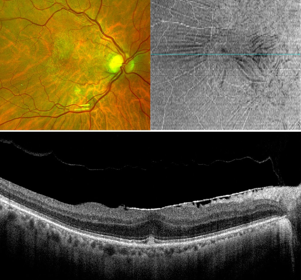
Augenkrankheiten Epiretinale Gliose - c AAD Schumann
So lässt sich eine epiretinale Gliose mit verschiedenen diagnostischen Methoden darstellen: Die Laser-Scanning-Ophthalmoskopie (links oben) zeigt eine weiß-graue Membran mit Netzhautfalten im Bereich der Makula, die Enface optische Kohärenztomographie der Makulaoberfläche (rechts oben) verdeutlicht Traktionsrichtungen und Netzhautfalten und die hochauflösende optische Kohärenztomogaphie (unten) zeigt einen Scan durch die Fovea mit der epiretinalen Membran als hochreflektive helle Linie auf der Netzhautoberfläche (Quelle: AAD-Kongress 2021 / Schumann)

Eine große Bedeutung haben bildgebende Verfahren, um eine epiretinale Gliose zu diagnostizieren und Entscheidungen über eine eventuelle Behandlung zu treffen. Die Makula wird mittels SD-OCT (spectral Domain Optical Coherence Tomography) untersucht. Zusätzliche Erkenntnisse können weitere Untersuchungsmethoden bieten: konfokale Scanning-Laser-Ophthalmoskopie (SLO) mit Infrarot-Darstellung oder Multicolordarstellung und schließlich die Fundusautofluoreszenz-Fotografien des Augenhintergrundes seien zur Verlaufskontrolle vor und nach einer Therapie sinnvoll.

Hornhautveränderungen bei Liderkrankungen

Ein anderes Thema auf dem AAD-Kongress 2021: Erkrankungen der Augenlider haben häufig Auswirkungen auf die gesamte Augenoberfläche, insbesondere auf die Hornhaut des Auges. Dieses komplexe System hat Prof. Dr. Elisabeth M. Messmer, München, im Blick.

So kann es zu einer Verformung der Hornhaut kommen, die die Sehschärfe mindert. Die Hornhaut kann als Folge einer Liderkrankung ihre Form verändern; Blutgefäße wachsen möglicherweise ein und mindern die Transparenz der Hornhaut; Hornhaut-Geschwüre (Ulzera) können sich bilden und schließlich kann sogar eine Perforation der Hornhaut die Folge der Liderkrankung sein.

Diese Veränderungen sind mögliche Folgen unterschiedlicher Mechanismen: Tumore können Druck auf die Hornhaut ausüben und sie verformen. Ein fehlender Lidschluss verhindert, dass die Hornhaut feucht gehalten wird. Wimpern können auf der empfindlichen Augenoberfläche scheuern und sie reizen. Schließlich können Infektionen mit Viren oder Bakterien und Entzündungen auf Liderkrankungen zurückgehen.

 

Schreiben Sie einen Kommentar

Ihre E-Mail-Adresse wird nicht veröffentlicht. Erforderliche Felder sind mit * markiert